I woke at 12 pm, feeling a bit lightheaded, but it was nothing that a decent cup of coffee could not fix.
Earlier that day, I had written up and handed over all my cases to the the day team, had thanked the nurses for looking so well after me (in addition to the patients) and had made it back safely to the hotel, where most of the guests were enjoying their breakfast.
Before falling asleep, I had decided that the nihilism and the philosophic excursions of a brain damaged Sylvain Tesson crossing France on foot, had to give way to the somewhat more entertaining and light hearted recollections of an aging Paul Theroux, travelling through Turkmenistan in ‘Ghost Train to the Eastern Star’, as the better bed time reading. I managed not more than a couple of pages….
With my circadian rhythm in disarray, and my personal morning now moved to the middle of the day, I started with a walk into town and a plate of bread and local cheeses at the Café of the local art museum. As it is custom in this part of the world, the newest issue of the local news paper was laid out, for guests arriving without company.

As important as especially the global news were these days, I found that today they did not interest me that much….
Probably an advantage of assignments like this – they focus your perspective.
For these four days, the whole purpose of my existence was condensed to looking after the animals in my care, to work, sleep, eat and just to repeat….
In a long-distance run, until your cross the finishing line, this is very much the same. Anything else must wait, has to be done later.
For once, there is a clear objective and there is no need to worry about anything else.

Well in time I arrived back at the clinic, where some of the in-patients were now familiar faces and most of them had improved throughout the day.
Time to take a closer look at another “first” for me at this clinic – the robotic pharmacy.

Here, all dispensable medication was in a sealed container, stored randomly, shifted according to available storage space rather than to treatment groups, and when required, removed by an artificial arm that was working in the centre of the cube.
While I appreciated the technological achievement, I took an instant dislike to it….
One of my first actions, when starting at a new clinic, is to walk into the practice pharmacy, to familiarise myself with the location of the most important drugs, to get an overview of what is stocked and to familiarise myself with any medication I had not seen or heard off so far. At times this requires a closer inspection of the packaging, of the size and the shape of some tablets or of the information leaflet inside the package.
All this was no longer possible, and I decided that the robot and I would not become friends.
Just after midnight, a typical customer in veterinary emergency clinics around the Globe arrived, not from Switzerland, but from the other side of the border in France, where all the clinics were closed until the next morning.
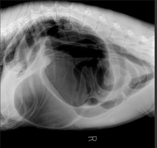
It was an elderly German Shepherd, that had been perfectly fine throughout the day, but had started to behave strangely in the evening, trying to vomit without much success, circling and trying to eat grass….
It was the classic presentation of a gastric torsion, a twisting of the stomach, that had the habit to occur nearly exclusively in the evening or at night in older, large breed dogs.

With the blood supply virtually cut off to some vital internal organs, this dog was in serious trouble and if its owners would have waited until the next morning, euthanasia would have been the only option left, if the dog would still have been alive by then….
Here aggressive fluid therapy and immediate surgery was the only sensible solution, and once treatment consent had been given by the distraught owners despite a guarded prognosis, the whole team focused on just this patient.
I/v lines where established and with the help of pressure cuffs, fluid was flooding into the veins of this patient. A few moments later the dog was asleep and out of pain and a couple of clippers prepared the abdomen for surgery.
If done in time, this can be an extremely rewarding procedure.
Once the abdominal cavity had been opened and a stomach tube passed to release gas and remaining stomach content, the stomach lining and the surrounding organs were inspected and found to be not too compromised, before the stomach was then attached in the correct position to the right chest wall.
Once that had been done, the wound was closed and the patient woke up from the anaesthesia. But even then, the battle was far from over, as a fair number of patients succumb in the following 24 hours due to complications caused by the disruption the condition had caused to the whole system.
But not so in this case – this Alsatian was able to return over the border to France the following day.
(To be continued….)